矯正治療と歯周病
皆さんは「歯周病」がどのような病気で、私達にどのような影響を与えているかご存知ですか?
歯周病は、歯と歯肉の間に存在する細菌による感染症です。プラークと呼ばれる細菌の固まりが歯肉に炎症を起こし、腫れや出血を引き起こします。プラーク由来の炎症は、歯を支える歯槽骨の吸収を促し、放置していると歯は動揺し、最悪の場合歯が抜け落ちてしまいます。歳を重ねるごとに歯が抜け落ち、咀嚼もきちんとできなくなるわけですから、Quality Of Lifeが低下するのは明らかです。

歯と歯肉の間にはポケットと呼ばれる溝があり、その深さが1~3mmであれば健康ですが、4mmを超えると、初・中程度の歯周病です。プラークが歯肉の傷口などから血液や呼吸器内に入り込むことによって、心臓・循環器疾患、早産にも影響を及ぼすともいわれ、糖尿病との関連も指摘されています。歯周ポケットが細菌の工場となり、そこから体内に常時細菌を送り込むわけですから、歯周病がいろいろな生活習慣病にも関係してくるというのも納得です。
では、一体どうしたら歯周病を予防できるのでしょうか・・・?
★ プロから歯磨き指導を受けること!
★ 正しい歯磨きの仕方をマスターし、日々プラークの除去を実践していくこと!
★ 定期的に歯医者さんで健診を受け、自身では除去の難しい硬いプラーク、歯石をクリーニングしてもらうこと!
以上の3点がなんといっても歯周病予防の基本となります。
そして実は、矯正治療も歯周病予防に一役買っています!
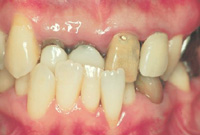
重度の歯周病患者さんの歯周組織改善の様子をみてみましょう!

当院来院時32歳。重度の歯周病です。特に歯列弓から飛び出している歯は、歯肉がかなり下がってしまっているのがわかります。

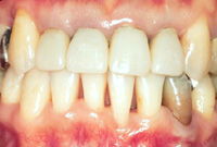
顎の位置、歯の位置が正しくなることにより、歯肉の形も調和がとれてきました!
そして、治療終了後20年たったのがこちら!

顎の位置も整い、歯列もそれと調和しているため、歯並びは安定し、歯肉の状態も改善しています。また、患者さんが日々のホームケアをしっかりやってくださっていることも重要です。
歯周病の発症や進行の大きな原因のひとつに、歯並びや、咬み合わせの悪さが挙げられています。当院では、治療目標の一つに「健康な歯周組織を作る」ということを掲げています。歯を綺麗にアーチ状に並べることにより、歯が磨きやすくなりますし、歯周病で破壊された歯槽骨(歯を支えている骨)や歯肉の形態を改善させることもできます。咬み合わせも良くなるので、一部の歯に余計な力が加わることがなくなり、歯周組織への負担も軽減します。治療が始まるとすぐに歯磨き指導を行い、毎回衛生士さんが磨き残しのチェックとクリーニングを行なっています。しかし、この治療目標を達成し持続させるには、皆さんのホームケアがとても重要になりますし、ホームドクターで定期的に健診を受けている方はそれを維持して下さい。歯は一生使う大切なものですから、頑張って正しい歯磨きを実践し習慣づけ、重度の歯周病とは一生縁のない健康な歯周組織を手に入れましょう!!
